
Pantau.com - Balai Konservasi Sumber Daya Alam (BKSDA) Aceh meminta kepolisian setempat menertibkan penggunaan senapan angin, menyusul ditemukan puluhan peluru senapan angin pada tubuh satu individu orang utan.
"Kami sudah menyurati Kapolda Aceh untuk meminta kepolisian menertibkan penggunaan senapan angin, sehingga tidak digunakan untuk menembak satwa dilindungi seperti orang utan," kata Kepala BKSDA Aceh Sapto Aji Prabowo, di Banda Aceh, Rabu (13 Maret 2019).
Sebelumnya, kata Sapto Aji, tim gabungan BKSDA Aceh bersama mitra telah mengevakuasi dua orang utan, induk dan anaknya, di sebuah kebun warga di Desa Bunga Tanjung, Kecamatan Sultan Daulat, Kota Subulussalam.
Baca juga: Perburuan Ilegal Lagi, Gajah Liar Tanpa Gading Penuh Luka Ditemukan Mati di Aceh
Kondisi induk orang utan itu saat dievakuasi dalam keadaan luka parah pada kaki, tangan, dan badan, diduga akibat benda tajam. Mata induk orang utan tersebut terluka akibat peluru senapan angin.
"Induk dan anak orang utan itu dibawa ke pusat rehabilitasi di Sibolangit, Sumatera Utara. Anaknya akhirnya mati dalam perjalanan karena syok dan kekurangan nutrisi," ujar Sapto Aji Prabowo.
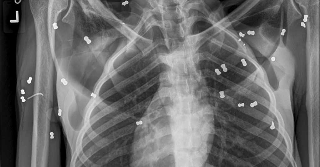
Hasil pemeriksaan dokter hewan terhadap induk orang utara itu, ditemukan 74 butir peluru senapan angin. Peluru senapan angin juga membutakan kedua mata induk orang utan tersebut.
Baca juga: Bunuh Tiga Harimau Sumatera, Pria Ini Dituntut 4,5 Penjara
Sapto Aji mengatakan, adanya peluru di tubuh orang utan membuktikan bahwa senapan angin digunakan menembak orang utan. Padahal, orang utan merupakan satwa yang harus dilindungi.
"Karena itu, kami meminta Kapolda Aceh menertibkan penggunaan senapan angin agar menghindari penggunaannya untuk menembak satwa dilindungi seperti orang utan," kata Sapto Aji Prabowo.
- Penulis :
- Noor Pratiwi








