
Pantau - Jumlah kematian akibat penyakit Legionnaires di Polandia tenggara pada Rabu (30/8/2023) naik menjadi 16 orang, menurut otoritas kesehatan setempat.
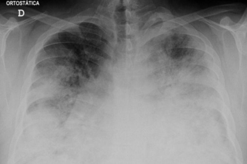
Penyakit Legionnaires adalah jenis radang paru-paru atau pneumonia yang disebabkan oleh bakteri legionella.
Penyelidikan wabah di wilayah Rzeszow dekat perbatasan Ukraina itu masih berlangsung.
Kepala Inspektorat Sanitasi Rzeszow Jaromir Slaczka mengatakan bahwa saat meninggal, ke-16 korban sedang menjalani perawatan untuk kondisi medis lainnya.
Sedikitnya 155 orang yang terinfeksi di seluruh Polandia telah dirawat di rumah sakit sejak penyakit tersebut mewabah.
Penyakit Legionnaires pertama kali terdeteksi pada 1977 sebagai pemicu wabah pneumonia akut pada 1976 di sebuah gedung pertemuan di Amerika Serikat.
Menurut Organisasi Kesehatan Dunia (WHO), bentuk penularan yang paling umum adalah menghirup aerosol terkontaminasi yang dihasilkan bersamaan dengan semprotan air, emisi atau kabut dari sumber air yang tercemar.
WHO menyebutkan bahwa dari kasus-kasus global yang dilaporkan, 75-80 persen menimpa orang berusia di atas 50 tahun dan 60-70 persen adalah laki-laki.
Bakteri legionella baru-baru ini juga menjadi sorotan setelah pencari suaka pada awal Agustus dievakuasi dari kapal migran Inggris, Bibby Stockholm, di mana bakteri itu ditemukan pada air di kapal tersebut.
- Penulis :
- Renalya Jafar
- Editor :
- Renalya Jafar









